全程导医网 徐州就医信息:近日,徐州市中心医院心脏病诊疗中心主任韩冰、心血管内科二病区副主任阮宏云领衔的瓣膜心脏病核心团队,运用国内首批获国家药品监督管理局批准应用、拥有中国自主知识产权的J-VALVE TF系统,成功为一名反复心衰、心脏扩大、心功能低下的老年重度主动脉瓣关闭不全患者实施高难度经导管主动脉瓣置换术(TAVR)。作为苏北地区首例采用专用经股动脉治疗主动脉瓣关闭不全人工瓣膜的案例,该手术以创新术式与精准操作,为老年高危瓣膜病患者开辟了更安全、更微创的治疗新路径。

1、棘手病例:病情复杂难度高
此次接受治疗的患者,病情复杂程度远超常规病例,给手术团队带来多重挑战。术前心脏彩超及主动脉根部CT检查显示,患者存在重度主动脉瓣反流,且瓣环尺寸偏大、瓣叶无明显钙化——这一特殊解剖特点,导致目前临床常用的人工瓣膜缺乏足够锚定支撑点,术中若有丝毫操作偏差,就可能引发瓣膜移位、瓣周漏等严重并发症。
雪上加霜的是,患者还合并横位心解剖结构异常,进一步增加了人工瓣膜输送过程中的精准控制难度,对手术团队的技术细节把控能力提出了极高要求。
2、周密筹备:定制手术方案
为确保手术成功,术前韩冰牵头组织多学科讨论,充分结合患者影像学检查数据、心肺功能评估结果,反复模拟手术操作流程,最终制定了“个体化锚定策略+精细化血管入路管理”的周密方案。同时,团队与患者及家属就手术风险、预期效果进行了充分沟通,最终确定植入专用于经股动脉治疗主动脉瓣关闭不全的带锚定键的34mm J-VALVE TF瓣膜。
3、精准实施:手术获成功
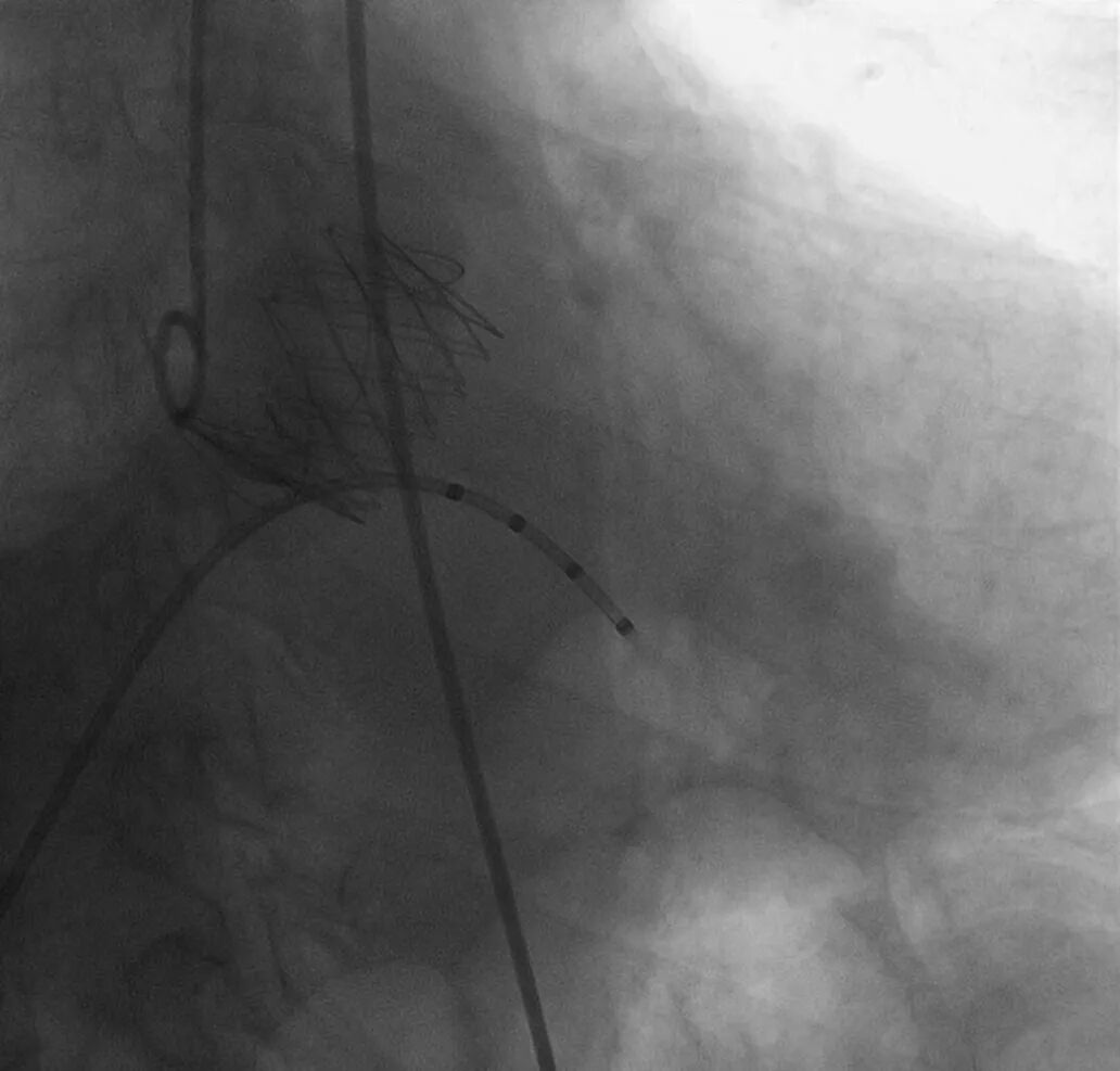
术中,团队凭借丰富的微创介入经验,通过股动脉仅两三毫米的穿刺切口,顺利完成瓣膜定位、释放与固定等一系列关键操作。整个手术过程中,患者血流动力学始终保持稳定,无明显不适。术后即刻超声检查显示,植入的瓣膜功能优异,未出现瓣周漏、反流等并发症,手术取得圆满成功。

瓣膜成功植入
4、技术突破:消除“心病”
主动脉瓣是心脏与主动脉之间的“关键阀门”,其功能正常与否直接决定心脏泵血效率。当发生重度主动脉瓣关闭不全时,心脏舒张期血液会从主动脉反向流入左心室,长期超负荷运转将导致左心室扩大、心功能进行性下降,最终引发顽固性心力衰竭甚至猝死。
瓣膜置换是目前唯一能有效改善此类患者预后的治疗手段。对于外科手术高风险的老年患者而言,经导管瓣膜置换术(TAVR)是临床首选方案。随着人口老龄化加剧,主动脉瓣关闭不全发病率逐年上升,已成为影响老年人群健康的重要心血管疾病。
此前,由于主动脉瓣关闭不全存在“瓣环支撑弱、微创锚定难”的技术壁垒,多数患者只能选择传统开胸手术或经心尖小切口手术,部分高危患者甚至面临“无术可做”的困境。而专用于主动脉瓣反流的经导管瓣膜上市后,显著提高了此类疾病经导管瓣膜置换手术的安全性,同时缩短了手术时间。
此次徐州市中心医院成功开展苏北地区首例J-VALVE TF治疗重度主动脉瓣关闭不全手术,且为全国首批使用该瓣膜的手术单位之一,不仅标志着医院在心脏微创介入领域的技术水平已达到区域领先、国内先进水平,更为后续更多同类患者提供了“创伤小、恢复快、安全性高”的治疗选择,进一步夯实了医院作为区域心血管疾病诊疗中心的技术引领地位。