全程导医网 徐州就医信息:十年鼻塞流脓,七旬老人苦不堪言;二次手术风险重重,巨大筛窦骨瘤紧贴眼眶和大脑。面对挑战,徐州市第一人民医院(以下简称“徐州一院”)耳鼻咽喉科王浩团队迎难而上,在方寸之间完成了一场惊心动魄的“拆弹”行动。

“这种情况得有10年了”
“左侧鼻子常年不通气,流不完的脓鼻涕,还带着一股难闻的味道。嗅觉也在减退,吃饭也不觉得香,眼眶周围胀痛不适,时常还会感到头痛、头晕,要是遇上感冒就更难受了。”当医生问及病情时,74岁的张大爷(化名)苦笑着说,“年纪大了,本不打算再手术,想着忍忍就过去了。”
这一忍,就是十年。
其实,十多年前张大爷因为同样的毛病——双侧鼻腔鼻窦炎鼻息肉,做过一次手术。当时效果还不错,他以为从此一劳永逸了。没想到,病魔又卷土而来,而且愈发严重。
“不能再拖了。”张大爷下定决心,到徐州一院耳鼻咽喉科找专家看看。
检查结果一出,医生也皱起了眉头
接诊的是徐州一院耳鼻咽喉科副主任、鼻科专家王浩。
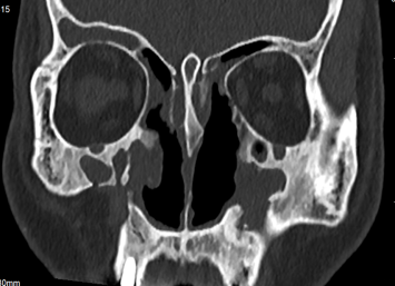
听完病史,王浩心里已经有数。但当他看完影像学检查结果,表情变得凝重起来。张大爷的情况远比普通鼻窦炎复杂得多:双鼻甲肥大,鼻中隔偏曲、鼻道里长满息肉样新生物。最棘手的是左筛窦发现一个巨大占位——高度怀疑是骨瘤,大小约3×4厘米。

术前
“骨瘤本身多为良性,但长在这个位置,就成了一个‘定时炸弹’。”王浩指着影像片子,向患者解释。
筛窦,是鼻腔深处一个结构极其复杂的区域。它的上方是颅底,隔着一层薄薄的骨头就是大脑;外侧是眼眶,视神经、筛前动脉等重要结构都在这里穿行。张大爷的这颗骨瘤,恰恰嵌合在眶内壁上,紧贴着这些要害部位。
如果不手术,骨瘤继续长大,压迫视神经可能导致失明,侵蚀骨壁、压迫颅脑组织可能引发更严重的后果;如果手术,筛窦区域解剖复杂,被称为“耳鼻咽喉科手术的珠穆朗玛峰”,稍有不慎,就会因伤及周围血管、神经、脑膜等出现大出血、视力减退甚至失明、脑脊液漏、颅内感染等严重并发症。
更何况,这还是一台二次手术!
初次手术后张大爷的鼻腔内部解剖结构已发生明显改变,再次手术对术者的空间想象能力、手术技术与风险应对经验都提出了极高的要求,每一步操作都如履薄冰。
还有一个绕不开的风险:患者年逾七旬,20年的帕金森病史及用药史,心肺功能、血管弹性都有所减退。手术中既需要控制性降压来减少出血,又要保证大脑等重要器官的供血,这个平衡极难拿捏。
所有这些加在一起,使手术难度陡增!
“这台手术,我们做”
面对如此巨大的风险和挑战,有人或许犹豫,有人或许婉拒,亦或建议转院。但王浩团队没有退缩。
“这台手术,我们做。”王浩拍板决定。
随即,一场多学科联合讨论紧锣密鼓地展开。耳鼻咽喉科、麻醉科、医学影像科等医护专家坐在一起,反复研读影像资料,模拟手术路径,预判每一个可能出现的风险,制定了详尽的微创鼻内镜手术方案和应急预案。
同时,王浩团队与患者及家属进行了充分、坦诚的沟通,将手术的风险、难度、手术方案和应对策略一一告知。患者及家人被专家团队的真诚和专业打动,给予了充分的信任:“王主任,我们相信您!拜托了!”
这份信任,也给了医者迎难而上的勇气与动力。
无影灯下的两小时,步步惊心
一切准备就绪,无影灯亮起,所有人各司其职。
面罩给氧、药物诱导、气道建立....在麻醉专家、主任医师谢文静博士的指导下,麻醉科副主任医师王冠男、主治医师闫龙剑默契配合,严密监测生命体征的变化,熟练地进行控制性降压,并根据手术步骤动态调整麻醉深度,全程为患者安全及手术实施保驾护航。
勾颖、张海婷两位手术室护理骨干有条不紊、配合默契,根据手术进度提前备好各项用物,精准传递器械、做好术中护理。
鼻科专家王浩站在患者头端,一手持内镜,一手握精细的手术器械,双眼紧盯显示屏,小心翼翼地将纤细的鼻内镜缓缓置入。作为其左右手的团队核心成员,主治医师李宁紧随手术路径,默契地做好视野暴露、器械传递与协同操作等手术配合。
内镜下,术野的情况比预想的还要复杂。
鼻腔内息肉增生严重,脓性分泌物附着,视野并不理想。初次手术带来的疤痕增生让正常的解剖层次无从辨析。王浩屏住呼吸,凭借对筛窦区域解剖结构的深刻理解,像一位在迷雾中航行的舵手,小心翼翼地分离瘢痕组织,一步步接近目标。
息肉切除、鼻窦开放、清除窦腔脓性分泌物……每一步都如临深渊,每一个动作却都精准到位。
真正的考验来了。
那个巨大的筛窦骨瘤出现在视野中。它呈灰白色,质地坚硬,像一块顽石死死嵌在眶内壁上,与周围组织紧密粘连。妥妥的一块“硬骨头”!
再难也要啃下来!
遇山开路,遇水架桥。王浩操控着精细的显微器械,从骨瘤与正常骨壁之间那条几不可见的微小缝隙入手,一点一点地松解、磨除。时间一分一秒地流逝,但王浩的手始终稳如磐石。他深知,是重获新生,还是面临失明、脑脊液漏等严重并发症——自己的每一个动作都关乎着患者的未来。

手术取出的筛窦骨瘤
经过两个小时惊心动魄的精细操作,手术结束,那颗3×4厘米的巨大骨瘤也被完整取出!
未发生脑脊液漏,没有大出血,视神经和筛前动脉等重要组织均保护完好。
“干得漂亮!”手术室里,所有人都在心里默默喝彩。

术后
术后,张大爷被安全送回病房。在医护团队的精心治疗和护理下顺利恢复,术前那些困扰他十年的鼻塞、流脓涕、头痛头晕、眶周胀痛不适等症状得到了显著改善,精神状态一天比一天好,脸上重新绽放出笑容。
医者仁心,从来不是一句空话
这台手术的成功,绝非偶然。它是徐州一院耳鼻咽喉科整体诊疗实力的集中体现,更是以副主任王浩为代表的鼻科团队“敢啃硬骨头、勇攀新高峰”职业精神的真实写照。他们敢于挑战高难度微创手术,凭借的是对患者深切的关怀和高度的责任感、凭借的是对人体解剖结构的精熟于心与手术操作的毫厘把控、凭借的是对微创技术的极致追求、更凭借的是整个医院多学科团队的默契配合与强大的综合救治能力!而王浩本人新近获聘“江苏省耳鼻喉科专业质控中心专家委员会委员”,正是其深厚专业功底与行业影响力的最佳注脚。
王浩常说:“医生的每一次‘冒险’,背后都应该是科学的决策和充分的准备。只要对患者有利,只要有一线希望,我们就要付出百分之百的努力。”正是这种“以患者为中心”,甘冒风险、技术精湛、精益求精的工匠精神,让徐州一院耳鼻咽喉科不断攀登医学高峰,为区域广大百姓带来了更高水平、更高质量的医疗服务。
如今,张大爷已经康复出院,带着对未来的希望和对医护人员的感激。而王浩和他的团队,早已转身投入到下一场与病魔的战斗中。他们继续用仁心与妙手,在一个又一个看似不可能的挑战中,创造着新的诊疗奇迹。
出 镜 专 家

王浩 主任医师,鼻科亚专业组组长
眼防所党总支第三党支部书记
徐州一院耳鼻咽喉科副主任
专业方向:
鼻内窥镜及鼾症、头颈肿瘤等手术治疗。
学术任职:
全国耳内镜外科技术规范化培训协作组成员
江苏省医学会第十一届耳鼻咽喉-头颈外科学分会委员会委员
江苏省医学会听力学分会第二届委员会委员
江苏省医学会耳鼻咽喉分会鼻科学组委员
省研究型医院学会耳鼻咽喉内镜专委会委员
江苏省中西医结合学会耳鼻咽喉专业委员会委员
中国抗癌协会康复学会江苏省头颈肿瘤专家委员会委员
江苏省耳鼻咽喉科专业质控中心专家委员会委员
徐州医学会耳鼻咽喉科分会副主任委员
徐州市医学会第一届听力学专委会副主任委员
徐州市耳鼻喉专业质量控制中心专家委员会副主任
徐州市医疗事故鉴定委员会专家库成员
徐州市残联听力残疾评定专家
意大利那不勒斯 Antonio Cardarelli省院及M0ALDI医院访问学者
专家门诊时间:每周五全天
专家门诊地址:门诊楼(3号楼)3层 南区东侧 耳鼻咽喉科诊区
徐州导医热线:0516——85707122