全程导医网 矿总频道:近期,徐州矿务集团总医院呼吸与危重症医学科马雷主任接诊了一位罹患典型多发性肺结节的患者。张女士(化名)今年55岁,一年前刚刚确诊乳腺癌,因乳腺恶性肿瘤行右乳切除,并在手术后接受了4个周期的化疗辅助治疗。住院期间患者胸部CT已显示存在一个大小约7mm的结节影,当时张女士并未选择干预肺结节,采取门诊随访。然而半个月前,张女士再次复查胸部CT时惊异地发现两肺均有多发性结节影,最大直径为13×7mm,结节较之前体积明显增大,数量增多,发展速度较快。
马雷主任迅速安排张女士入院进一步核查结节情况,依据自己在肺结节诊疗方面的丰富经验,他判断该患者乳腺癌肺转移的可能性较大,属于高危结节,亟需干预治疗。
消融方案:两组路径多点位消融
张女士的肺部病灶呈现出较为典型的多发性结节特征,结节影交错连结形成条块状,当务之急是需要高效高质的清理多个病变部位;然而另一方面,在接受了乳腺切除手术后,张女士的体质基础和心肺功能都相对较弱,对于再次切肺表示难以承受。
马雷主任通过与诊疗组其他专家的多方面讨论后,为尽可能改善患者手术体验、保障术后生活质量,让患者少受罪,又能精准定位肺部多发病灶,快速解除高危状态,他决定在一台消融术中安排两组消融针入路,分A线、B线;同时,进行冷冻肺活检穿刺取样,通过冷冻的方式降低出血,快速取样后病理送检。

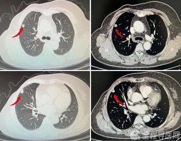
病灶A

病灶B
该台消融术操作难度较大,但是马雷主任表示:“我相信我的团队成员彼此间能够配合默契,也相信自己日复一日扎根于操作一线积累下的宝贵经验。如果在手术方案成熟、医生技术过硬的情况下,尽可能地让患者少受一次罪还能把病治了,这就是好的方案,值得的方案。”
消融过程:CT引导下精准定位

A组消融路径:精准入针到达病灶部位

A组消融后效果

B组消融路径:直达最深处,且退且消
张女士胸部CT显示,B组病灶由多个小结节连结成条块状。马雷主任选择首先定位至较深处的一个结节影,完成消融后往外退针,退针路径与其他病灶重合,一边退一边消,最终完成条状病灶的长段消融,并尽可能将创伤减小到最低。
肺穿刺冷冻活检:低温凝血,取样良好

消融+穿刺“双针道模式”
在消融过程中,马雷主任瞅准时机,在消融针道外建立另一条穿刺针道,施行肺穿刺冷冻活检。这是一种结合冷冻穿刺技术与消融技术的微创诊治方法,利用特制穿刺针在目标区域释放低温气体(如液氮或二氧化碳),使周围组织快速冻结形成“冰球”,随后取出冷冻的病变组织。冷冻肺穿刺可降低出血,减少组织碎裂,提升样本完整性,尤其适用于质地较硬或位置较深的病灶。
一台消融术 · “消灭”多结节
张女士在肺消融术中未产生不适,术后在医护人员的陪同下安全返回病房,第二日即可下床行走。在马雷主任及其结节诊疗团队成员的再三复诊后办理出院,目前恢复状态良好。张女士表示:“真的很庆幸!原本担心多发性结节难处理,要开好多刀,然而自己的身体真的经不起大手术的折腾了……没想到一台消融术就‘消灭’了好几个!手术创伤也不大,两三天就能出院了。”
矿总名医
马雷
呼吸与危重症医学科 主任医师

江苏省医学会肺结节及肺癌专委会委员,徐州市免疫学会感染免疫专业委员会委员,徐州矿务集团总医院呼吸与危重症医学科诊疗组长,内科教研室副主任,内科住培基地教学主任。从事呼吸内科临床诊疗工作18年,对肺部感染、慢性阻塞性肺疾病、支气管哮喘、肺癌等呼吸系统疾病有丰富的临床经验。曾于上海肺科医院进修学习,并于国家核心期刊等发表多篇论文。
擅长:肺部肿瘤诊疗,结节诊治与肺癌早筛,肺穿刺,肺消融,气管镜技术。
徐州导医热线:0516-85707122