全程导医网 徐州健康信息:近日,安徽省灵璧县的陈大爷来到徐州一院呼吸与危重症医学科三病区求助。该患者曾因胸闷、活动后气喘的问题到当地医院就诊,行胸部CT检查发现气管内占位,由于占位体积较大,一般的活检钳难以抓取,且有一定的出血及窒息等风险,当地医院建议至上级医院诊治。科主任崔文洁在接诊后,立刻为患者安排绿色通道,完善相关检验、检查评估病情,为支气管镜检查做术前准备。

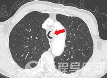
患者胸部增强CT示气管内结节状高密度影,相关气管腔变狭窄,增强扫描未示明显强化,考虑气道内良性肿瘤的可能,在崔文洁的主持下,经过科室团队详细讨论,决定对陈大爷实施全麻支气管镜下电圈套器联合氩气刀治疗腔内病变。在经过科室团队与麻醉科共同讨论评估后,制定了缜密的手术与麻醉方案及应急预案,做好充分术前准备。

手术台上,在麻醉医生的密切配合下,科副主任、主任医师施海和副主任医师袁杰清、陈云峰相互配合置入支气管镜。镜下可见气管左侧壁新生物突出管腔,致气管中度狭窄,圈套器切除病变,并应用活检钳清理残余病变,氩气刀喷洒止血。约30分钟手术结束,术中患者生命体征平稳、出血量较少,术后未感到特殊不适。
术后病理报告为腺上皮乳头状瘤。治疗后陈大爷胸闷、活动后气喘的症状得到了解决。
崔文洁介绍,气道内大的肿瘤或息肉是呼吸内镜大夫最棘手的问题,由于瘤体较大,一般的活检钳难以抓取。高频电刀是一种将电能转换成热能,切除病变组织或消融的热凝切技术。电圈套器是一种特殊的高频电刀,主要用于有蒂肿瘤或息肉的切除。氩气刀是一种非接触式电极,具有切除面积大、穿透深度可靠、操作过程中烟雾少及无异味、能快速止血、快速切除病变等优势。电圈套器与氩气刀联合应用,使得患者手术时间缩短,手术创伤小,并发症少,术后恢复快。
治疗弥漫性肺部病变

刘先生因近一个月出现咳嗽、咳痰、胸闷,入住呼吸与危重症医学科三病区。胸部CT提示两肺内弥漫多发结节状、斑片状、片状密度增高影,部分实变,增强扫描未示明显强化,纵隔内及两肺门淋巴结肿大。他曾在当地医院行抗感染等对症治疗半月,效果欠佳。入住徐州一院后,陈云峰和袁杰清相互配合,分别对7组、11Rs组淋巴结行超声支气管镜引导下经支气管针吸活检术(EBUS-TBNA)。术后病理示多灶性肉芽肿形成,未见明显干酪样坏死,符合结节病改变。团队为刘先生制定了个性化诊疗方案,进行了科学、精准的治疗。
崔文洁介绍,弥漫性肺部病变是呼吸系统的疑难杂症,诊断至关重要,但这类患者获取组织标本一直是难点。EBUS-TBNA是近年来应用于临床的新技术之一,它是应用特制的穿刺针通过支气管镜进入气道内穿透气管壁对腔外病变(肿块、淋巴结等)进行穿刺抽吸获取细胞学或组织学标本。由于具有实时超声图像显示的功能,与传统的TBNA相比,其穿刺定位更加精确,显著提高了穿刺的准确性及安全性。减少了患者的痛苦和手术风险,为诊断纵隔及肺门病变提供了一项简单、方便的手段。
以上技术的顺利开展,提高了徐州一院呼吸与危重症医学科对气管腔内病变、弥漫性肺部疾病和其他肺部疑难病的诊断水平。崔文洁表示,今后团队将继续以患者需求为导向,持续提升呼吸疑难病症及危重症的诊疗能力,为广大人民群众提供更加优质、精准的医疗服务。
专家介绍

崔文洁
呼吸与危重症医学科三病区主任
主任医师 副教授
硕士研究生导师
教育部国家级呼吸重大项目评审专家
科技部国家专家库专家
江苏省医学会呼吸分会间质病学组委员
江苏省医学会呼吸分会肺癌学组委员
江苏省医学会医疗事故、伤残鉴定专家组专家
徐州市健康管理学会睡眠呼吸障碍委员会副主任委员
徐州市医学会呼吸分会常务委员
徐州市免疫学会小细胞肺癌肿瘤治疗专业委员会常务委员
徐州市铜山区人大代表
主持多项国家及省、市科研课题,获市政府科技进步奖。三十余篇论文发表于SCI及核心期刊杂志。擅长各种难治性肺部感染、肺部肿瘤、间质性肺疾病、慢性咳嗽、肺结节、慢性阻塞性肺疾病、支气管哮喘以及其他呼吸系统疾病,精通呼吸专业各种诊疗操作。
高级专家门诊:周一下午
门诊地点:门诊楼(3号楼)4层高级专家门诊
专家门诊:周二全天
门诊地点:门诊楼(3号楼)2层1诊区

施海
呼吸与危重症医学科三病区副主任
主任医师
徐州市免疫学会感染免疫专业委员会副主任委员
徐州市健康管理学会呼吸睡眠障碍专业委员会副主任委员
徐州市医学会细菌感染与耐药防治专业委员会委员
亚洲冷冻治疗学会(ASC)委员
曾在省级及国家级期刊发表论文多篇。擅长气管镜常规检查及介入治疗,熟练掌握呼吸内科常见病、多发病及危重症的诊断治疗与抢救,熟练掌握气管镜操作。
专家门诊:周五全天
门诊地点:门诊楼(3号楼)2层1诊区

袁杰清
副主任医师
医学硕士
熟练掌握呼吸科常见病、多发病的诊疗,如慢性咳嗽、慢性阻塞性肺疾病、慢性肺源性心脏病、支气管扩张、支气管哮喘、气胸、胸腔积液、间质性肺病等疾病的诊治,尤其擅长呼吸科急危重症的抢救治疗。在省级以上专业期刊杂志发表论文数篇。被评为2022年徐州市十大医德标兵。

陈云峰
副主任医师
医学硕士
徐州市睡眠呼吸障碍专业委员会委员
亚洲冷冻治疗专业协会青年委员
主持及参与多项市级课题,并发表多篇SCI及核心期刊论文。擅长气管镜下各种诊断和治疗性操作,主要从事呼吸系统疾病的诊断与治疗,尤其是在呼吸系统慢性病如慢性阻塞性肺疾病、间质性肺疾病以及急、慢性呼吸衰竭上有着丰富的临床经验。
来源 | 呼吸与危重症医学科三病区微信公众号
徐州导医热线:0516——85707122