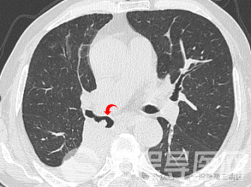
全程导医网 徐州就医信息:近日,一位73岁的李大爷因近5天出现咳嗽、咳痰、气喘症状,入住徐州市第一人民医院呼吸与危重症医学科三病区,此前该患者曾明确诊断为“右肺鳞癌”,曾行“卡铂+紫杉醇”化疗及“替雷利珠单抗”免疫治疗。入院后,复查胸部CT提示右肺下叶支气管狭窄、闭塞,右肺下叶肺不张、实变。
在呼吸与危重症医学科三病区主任崔文洁的主持下,副主任施海和副主任医师陈云峰相互协作,为患者实施全麻硬质支气管镜下冷冻治疗。术后李大爷咳嗽、咳痰及憋喘症状得到明显改善。

为保证手术顺利实施,科室为李大爷制定了缜密的手术方案及应急预案,与麻醉科密切协作,充分做好术前准备及评估。4月18日,施海和陈云峰相互配合,置入硬质支气管镜、应用圈套器切除突出病变、应用冷冻探头及活检钳清理残余病变、清理积聚的分泌物......约30分钟手术结束。整个过程,患者生命体征平稳,术后状态良好,无特殊不适。

据了解,晚期肺癌患者常因肿瘤压迫气道导致呼吸困难,严重影响生活质量。随着支气管介入技术的发展,支气管镜下高频电灼、氩离子凝固术、冷冻疗法、支架置入等疗法已应用于临床,可改善肺癌患者的肺功能状况。
科主任崔文洁介绍,恶性气道狭窄(Malignant airway stenosis,MAS)是由各种恶性肿瘤,尤其肺癌的原发病灶或转移癌侵犯,使得气管、支气管受压所致。由于早期缺乏特异性症状,往往不受重视,当气道进展至严重狭窄时,可出现急性呼吸道梗阻症状,如咳嗽、胸闷、气促和呼吸困难甚至窒息死亡,病死率极高。气道梗阻后狭窄易引发肺炎或其他炎症反应。临床上对于MAS多采取姑息性治疗,无法缓解病人呼吸困难症状和痛苦。支气管镜下冷冻疗法是近年来发展起来的新技术,具有创伤小、取材量质量高及并发症少等优点,目前仅在省内少数大医院能够开展。
该项技术的顺利且熟练的开展,进一步提高了徐州一院呼吸与危重症医学科对支气管镜下腔内病变的诊治水平。崔文洁表示,今后团队将继续以患者需求为导向,持续提升呼吸疑难病症及危重症的诊疗能力,为广大人民群众提供更加优质、精准的医疗服务。
专家介绍

崔文洁
呼吸与危重症医学科三病区主任
主任医师 副教授
硕士研究生导师
教育部国家级呼吸重大项目评审专家
科技部国家专家库专家
江苏省医学会呼吸分会间质病学组委员
江苏省医学会呼吸分会肺癌学组委员
江苏省医学会医疗事故、伤残鉴定专家组专家
徐州市健康管理学会睡眠呼吸障碍委员会副主任委员
徐州市医学会呼吸分会常委
徐州市免疫学会小细胞肺癌肿瘤治疗专业委员会常委
徐州市铜山区人大代表
主持多项国家及省、市科研课题,获市政府科技进步奖。三十余篇论文发表于SCI及核心期刊杂志。
专业特长:擅长各种难治性肺部感染、肺部肿瘤、间质性肺疾病、慢性咳嗽、肺结节、慢性阻塞性肺疾病、支气管哮喘以及其他呼吸系统疾病,精通呼吸专业各种诊疗操作。
高级专家门诊:周一下午
门诊地点:门诊楼(3号楼)4层高级专家门诊
专家门诊:周二全天
门诊地点:门诊楼(3号楼)2层1诊区

施海
呼吸与危重症医学科三病区副主任
主任医师
徐州市免疫学会感染免疫专委会副主委
徐州市健康管理学会呼吸睡眠障碍专业委员会副主委
徐州市医学会细菌感染与耐药防治专业委员会委员
亚洲冷冻治疗学会(ASC)委员
曾在省级及国家级期刊发表论文多篇。
擅长气管镜常规检查及介入治疗,熟练掌握呼吸内科常见病、多发病及危重症的诊断治疗与抢救,熟练掌握气管镜操作。
专家门诊:周五全天
门诊地点:门诊楼(3号楼)2层1诊区

陈云峰
副主任医师
医学硕士
徐州市睡眠呼吸障碍专业委员会委员
亚洲冷冻治疗专业协会青年委员
主持及参与多项市级课题,并发表多篇SCI及核心期刊论文。
擅长气管镜下各种诊断和治疗性操作,主要从事呼吸系统疾病的诊断与治疗,尤其是在呼吸系统慢性病如慢性阻塞性肺疾病、间质性肺疾病以及急、慢性呼吸衰竭上有着丰富的临床经验。
供稿 | 呼吸与危重症医学科三病区
徐州导医热线:0516——85707122